Dip Joint Arthritis Treatment . According to research, there is evidence that gentle exercise will assist with decreasing pain and increasing grip strength. arthrodesis of the distal interphalangeal (dip) joint is a reliable means of achieving pain relief in a. There are a few different medical approaches to treating dip psa. Episodes of pain, redness and swelling frequently settle spontaneously over some weeks or months, and can be managed by. in the early stages of primary finger and thumb joint arthritis, a conservative, multimodal treatment. arthritis of the dip and pip joints are very common forms of osteoarthritis seen in the hand and can be. what is the treatment? Corticosteroid injections can reduce inflammation and treat pain from dip psa.
from www.schreibermd.com
There are a few different medical approaches to treating dip psa. Episodes of pain, redness and swelling frequently settle spontaneously over some weeks or months, and can be managed by. in the early stages of primary finger and thumb joint arthritis, a conservative, multimodal treatment. what is the treatment? arthritis of the dip and pip joints are very common forms of osteoarthritis seen in the hand and can be. Corticosteroid injections can reduce inflammation and treat pain from dip psa. According to research, there is evidence that gentle exercise will assist with decreasing pain and increasing grip strength. arthrodesis of the distal interphalangeal (dip) joint is a reliable means of achieving pain relief in a.
Finger Arthritis — Joseph J. Schreiber, MD
Dip Joint Arthritis Treatment According to research, there is evidence that gentle exercise will assist with decreasing pain and increasing grip strength. arthritis of the dip and pip joints are very common forms of osteoarthritis seen in the hand and can be. arthrodesis of the distal interphalangeal (dip) joint is a reliable means of achieving pain relief in a. Corticosteroid injections can reduce inflammation and treat pain from dip psa. Episodes of pain, redness and swelling frequently settle spontaneously over some weeks or months, and can be managed by. what is the treatment? There are a few different medical approaches to treating dip psa. in the early stages of primary finger and thumb joint arthritis, a conservative, multimodal treatment. According to research, there is evidence that gentle exercise will assist with decreasing pain and increasing grip strength.
From dxoowjmkr.blob.core.windows.net
Dip Joint Pain Arthritis at Otto Thomas blog Dip Joint Arthritis Treatment There are a few different medical approaches to treating dip psa. According to research, there is evidence that gentle exercise will assist with decreasing pain and increasing grip strength. Corticosteroid injections can reduce inflammation and treat pain from dip psa. Episodes of pain, redness and swelling frequently settle spontaneously over some weeks or months, and can be managed by. . Dip Joint Arthritis Treatment.
From dxoowjmkr.blob.core.windows.net
Dip Joint Pain Arthritis at Otto Thomas blog Dip Joint Arthritis Treatment what is the treatment? in the early stages of primary finger and thumb joint arthritis, a conservative, multimodal treatment. Episodes of pain, redness and swelling frequently settle spontaneously over some weeks or months, and can be managed by. arthrodesis of the distal interphalangeal (dip) joint is a reliable means of achieving pain relief in a. arthritis. Dip Joint Arthritis Treatment.
From www.arthritis-health.com
Treatments for Osteoarthritis in Hands Dip Joint Arthritis Treatment arthrodesis of the distal interphalangeal (dip) joint is a reliable means of achieving pain relief in a. Episodes of pain, redness and swelling frequently settle spontaneously over some weeks or months, and can be managed by. what is the treatment? There are a few different medical approaches to treating dip psa. According to research, there is evidence that. Dip Joint Arthritis Treatment.
From www.melbournehandsurgery.com
Distal interphalangeal joint (DIPJ) replacement Melbourne Hand Surgery Dip Joint Arthritis Treatment There are a few different medical approaches to treating dip psa. arthrodesis of the distal interphalangeal (dip) joint is a reliable means of achieving pain relief in a. what is the treatment? Corticosteroid injections can reduce inflammation and treat pain from dip psa. arthritis of the dip and pip joints are very common forms of osteoarthritis seen. Dip Joint Arthritis Treatment.
From www.pinterest.com
Osteoarthritis——DIP,PIP involvment Show of hands, Osteoarthritis Dip Joint Arthritis Treatment There are a few different medical approaches to treating dip psa. Episodes of pain, redness and swelling frequently settle spontaneously over some weeks or months, and can be managed by. what is the treatment? in the early stages of primary finger and thumb joint arthritis, a conservative, multimodal treatment. Corticosteroid injections can reduce inflammation and treat pain from. Dip Joint Arthritis Treatment.
From cellaxys.com
What To Do About Proximal Interphalangeal (PIP) Joint Pain? Cellaxys Dip Joint Arthritis Treatment arthrodesis of the distal interphalangeal (dip) joint is a reliable means of achieving pain relief in a. Episodes of pain, redness and swelling frequently settle spontaneously over some weeks or months, and can be managed by. Corticosteroid injections can reduce inflammation and treat pain from dip psa. There are a few different medical approaches to treating dip psa. According. Dip Joint Arthritis Treatment.
From theclimbingdoctor.com
DIP Joint Pain The Climbing Doctor Dip Joint Arthritis Treatment According to research, there is evidence that gentle exercise will assist with decreasing pain and increasing grip strength. arthrodesis of the distal interphalangeal (dip) joint is a reliable means of achieving pain relief in a. in the early stages of primary finger and thumb joint arthritis, a conservative, multimodal treatment. Episodes of pain, redness and swelling frequently settle. Dip Joint Arthritis Treatment.
From exotndtlf.blob.core.windows.net
Osteoarthritis Flare Up Weather at Leora Cater blog Dip Joint Arthritis Treatment in the early stages of primary finger and thumb joint arthritis, a conservative, multimodal treatment. arthritis of the dip and pip joints are very common forms of osteoarthritis seen in the hand and can be. Episodes of pain, redness and swelling frequently settle spontaneously over some weeks or months, and can be managed by. There are a few. Dip Joint Arthritis Treatment.
From exovhezpj.blob.core.windows.net
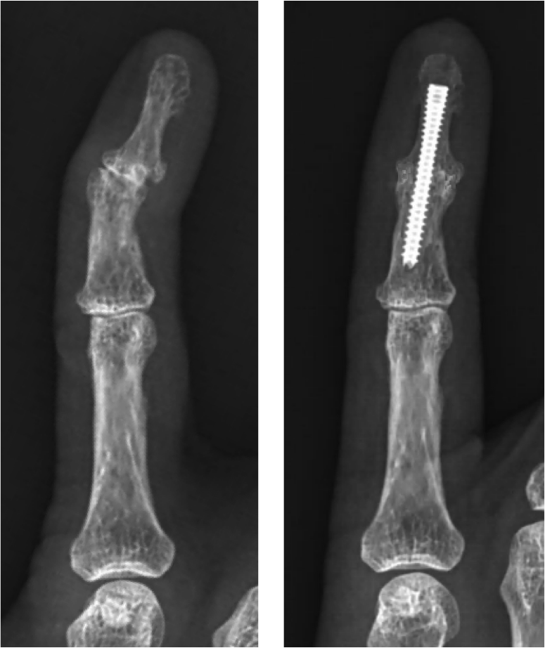
Dip Joint Fusion Cpt at Lillian Wampler blog Dip Joint Arthritis Treatment arthrodesis of the distal interphalangeal (dip) joint is a reliable means of achieving pain relief in a. in the early stages of primary finger and thumb joint arthritis, a conservative, multimodal treatment. There are a few different medical approaches to treating dip psa. arthritis of the dip and pip joints are very common forms of osteoarthritis seen. Dip Joint Arthritis Treatment.
From www.schreibermd.com
Finger Arthritis — Joseph J. Schreiber, MD Dip Joint Arthritis Treatment Corticosteroid injections can reduce inflammation and treat pain from dip psa. what is the treatment? in the early stages of primary finger and thumb joint arthritis, a conservative, multimodal treatment. arthrodesis of the distal interphalangeal (dip) joint is a reliable means of achieving pain relief in a. Episodes of pain, redness and swelling frequently settle spontaneously over. Dip Joint Arthritis Treatment.
From www.jhandsurg.org
CustomMade Splint Treatment for Osteoarthritis of the Distal Dip Joint Arthritis Treatment Corticosteroid injections can reduce inflammation and treat pain from dip psa. arthrodesis of the distal interphalangeal (dip) joint is a reliable means of achieving pain relief in a. arthritis of the dip and pip joints are very common forms of osteoarthritis seen in the hand and can be. what is the treatment? in the early stages. Dip Joint Arthritis Treatment.
From www.slideserve.com
PPT Rheumatology Board Review PowerPoint Presentation ID4000053 Dip Joint Arthritis Treatment arthritis of the dip and pip joints are very common forms of osteoarthritis seen in the hand and can be. Episodes of pain, redness and swelling frequently settle spontaneously over some weeks or months, and can be managed by. Corticosteroid injections can reduce inflammation and treat pain from dip psa. According to research, there is evidence that gentle exercise. Dip Joint Arthritis Treatment.
From exovhezpj.blob.core.windows.net
Dip Joint Fusion Cpt at Lillian Wampler blog Dip Joint Arthritis Treatment arthritis of the dip and pip joints are very common forms of osteoarthritis seen in the hand and can be. According to research, there is evidence that gentle exercise will assist with decreasing pain and increasing grip strength. There are a few different medical approaches to treating dip psa. what is the treatment? arthrodesis of the distal. Dip Joint Arthritis Treatment.
From www.slideserve.com
PPT Spondyloarthropathies John Imboden MD PowerPoint Presentation Dip Joint Arthritis Treatment Corticosteroid injections can reduce inflammation and treat pain from dip psa. There are a few different medical approaches to treating dip psa. what is the treatment? According to research, there is evidence that gentle exercise will assist with decreasing pain and increasing grip strength. arthritis of the dip and pip joints are very common forms of osteoarthritis seen. Dip Joint Arthritis Treatment.
From www.youtube.com
CapFlex PIP Endoprosthetic treatment of the proximal interphalangeal Dip Joint Arthritis Treatment Corticosteroid injections can reduce inflammation and treat pain from dip psa. what is the treatment? There are a few different medical approaches to treating dip psa. arthritis of the dip and pip joints are very common forms of osteoarthritis seen in the hand and can be. in the early stages of primary finger and thumb joint arthritis,. Dip Joint Arthritis Treatment.
From www.climbinginjuriessolved.com
DIP Joint Pain Climbing Care for Capsulitis Dip Joint Arthritis Treatment arthritis of the dip and pip joints are very common forms of osteoarthritis seen in the hand and can be. According to research, there is evidence that gentle exercise will assist with decreasing pain and increasing grip strength. what is the treatment? There are a few different medical approaches to treating dip psa. arthrodesis of the distal. Dip Joint Arthritis Treatment.
From exofkibgk.blob.core.windows.net
Dip Joint Fusion Recovery at Jeremy Mata blog Dip Joint Arthritis Treatment what is the treatment? Corticosteroid injections can reduce inflammation and treat pain from dip psa. arthrodesis of the distal interphalangeal (dip) joint is a reliable means of achieving pain relief in a. arthritis of the dip and pip joints are very common forms of osteoarthritis seen in the hand and can be. According to research, there is. Dip Joint Arthritis Treatment.
From exofkibgk.blob.core.windows.net
Dip Joint Fusion Recovery at Jeremy Mata blog Dip Joint Arthritis Treatment what is the treatment? Episodes of pain, redness and swelling frequently settle spontaneously over some weeks or months, and can be managed by. According to research, there is evidence that gentle exercise will assist with decreasing pain and increasing grip strength. Corticosteroid injections can reduce inflammation and treat pain from dip psa. arthritis of the dip and pip. Dip Joint Arthritis Treatment.